Des scientifiques du monde entier analysent  la composition des vaccins

Il semblerait que tous les ingrédients introduits dans les injections contre le virus SARS-cov-2 ne soient pas mentionnés dans les notices destinées aux soignants qui pratiquent les injections sur la population. De nombreux médecins, chercheurs et scientifiques du monde entier ont cherché à vérifier si la composition des flacons de vaccin était strictement conforme à l’énoncé des substances mentionnées dans les notices.

En Allemagne par exemple des médecins se sont  réunis pour faire le point et échanger autour de ce qu’ils ont analysé et trouvé dans les vaccins :

https://odysee.com/@La_v%C3%A9rit%C3%A9_excite_la_col%C3%A8re:2/00_allemand_docteur_piqure_enfer_puce:f  (analyse du contenu d’une injection par des médecins allemands)

Ailleurs, le docteur Carrie Madej dresse un état des lieux de ce qu’elle a trouvé dans le liquide vaccinal après analyse au microscope et avec différentes technique de pointe :

https://odysee.com/@FlowerPower:b/Dr-Carrie-Madej–Contenus-d’injections-vus-au-microscope-x-400:6  (Docteur Carrie Madej examine le vaccin au microscope)

Un rapport écrit très détaillé et comportant de nombreuses images  réalisé par le docteur Robert Young a été obtenu par Maitre Brusa, avocat, et publié sur son site :

https://rumble.com/vmk7at-maitre-brusa-nous-numre-la-redoutable-composition-des-injections-nazitaires.html

https://reaction19.fr/reaction19/enquetes-reaction19/140921-composition-des-pseudo-vaccins-dr-robert-young/

Vous pourrez télécharger vous-même le rapport spectométrique des vaccins ARNm du docteur Young qui est un document PDF de 24 pages traduit en français depuis le site de maitre Brusa :

140921 – Composition des pseudo-vaccins – Dr Robert YOUNG

je vais m’efforcer ci dessous de vous en extraire ce qui est compréhensible à l’entendement des néophytes que nous sommes, en vous faisant  grâce des termes scientifiques compréhensibles uniquement par les seuls scientifiques qui en manient  le langage ! Que cela toutefois ne vous donne surtout pas le sentiment de ne pouvoir comprendre l’essentiel de ce qu’il faut retenir et conclure à propos de ces injections que l’on veut vous inoculer de force alors qu’à aucun moment votre consentement n’a été éclairé ni même obtenu concernant les substances ultra nocives de ces injections pour la santé humaine et l’espérance de vie !

Ce n’est pas parce que vous n’appartenez pas au cénacle très fermé des   » sachants  » autoproclamés qui envahissent les plateaux télé que vous n’avez pas votre mot à dire sur cette scandaleuse obligation vaccinale que l’on veut vous administrer de force et qui omet à dessein de vous révéler les conséquences néfastes de toutes les substances qui ne vont pas vous protéger du virus, mais au contraire altérer gravement votre santé !

Ci-dessous donc des extraits compréhensibles du rapport du Docteur Young :

La microscopie à contraste de phase, la microscopie électronique à transmission et à balayage et la spectroscopie à rayons X à dispersion d’énergie révèlent les ingrédients des vaccins contre le CoV-19.

Il existe actuellement quatre grandes sociétés pharmaceutiques qui fabriquent un vaccin contre le SRAS-CoV-2, maintenant  appelé SRAS-CoV-19.  Ces fabricants et leurs vaccins sont :

  • Pfizer– le vaccin ARNm BioNTech,
  • Moderna-  le vaccin ARNm Lonza -1273, Serum Institute-
  • le vaccin Oxford Astrazeneca
  • le vaccin Covid-19 Janssen, fabriqué par Janssen Biotech Inc, une société pharmaceutique Janssen de Johnson & Johnson, un adénovirus recombinant, inapte à la réplication, exprimant la protéine de pointe du SRAS-CoV-2.

L’objectif ( affiché ) de ces vaccins est de conférer une immunité contre le nouveau coronavirus infectieux ou SARS-CoV-2, désormais appelé SARS-CoV-19. Ces quatre sociétés pharmaceutiques n’ont pas fourni de divulgation complète à la FDA ( Food and Drug Administration  américaine ) sur leur boîte de vaccin, leur fiche d’information ou leur étiquette.

Le but de cet article de recherche est d’identifier les ingrédients majeurs et mineurs spécifiques contenus dans le vaccin Pfizer, le vaccin Moderna, le vaccin Astrazeneca et le vaccin Janssen en utilisant divers tests scientifiques anatomiques, physiologiques et fonctionnels pour chaque vaccin SRAS-COV-2-19.

En tant que droits de l’homme, régis en vertu du droit international par le Code de Nuremberg de 1947, l’information sur les ingrédients spécifiques du vaccin est essentielle, requise et nécessaire à connaître pour que tout être humain de n’importe quel pays au monde puisse prendre une décision éclairée quant à son consentement ou non à l’inoculation du SRAS-CoV-2-19.

Nous avons effectué les tests scientifiques sur chaque vaccin et avons identifié plusieurs ingrédients ou adjuvants non divulgués qui sont contenus dans ces quatre vaccins contre le SRAS-CoV-2-19. Actuellement, ces vaccins sont administrés à des millions d’êtres humains dans le monde entier en vertu d’une autorisation d’utilisation d’urgence (EUA) délivrée par chaque pays sans que tous les ingrédients soient divulgués et, dans certains cas, à la demande de gouvernements ou d’employeurs, ce qui constitue une violation des droits de l’homme en vertu du Code de Nuremberg de 1947.
                                                                                                                                              Explications sur la méthodologie et les techniques employées par le Docteur Young

Quatre “vaccins” ont été analysés, à savoir le vaccin Pfizer-BioNtech, Moderna-Lonza mRNA-1273, Vaxzevria d’Astrazeneca, Janssen de Johnson & Johnson, en utilisant différents instruments et protocoles de préparation selon les nouvelles approches technologiques des nanoparticules. Les différents instruments comprennent la microscopie optique, la microscopie à champ clair, la microscopie à contraste de pHase, la microscopie à champ sombre, l’absorbance UV et la spectroscopie de fluorescence, la microscopie électronique à balayage, la microscopie électronique à transmission, la spectroscopie à dispersion d’énergie, le diffractomètre à rayons X et les instruments de résonance magnétique nucléaire, qui ont été utilisés pour vérifier la morphologie et le contenu des “ vaccins ”. Pour les mesures de haute technologie et le soin de l’enquête, tous les contrôles ont été activés et les mesures de référence adoptées afin d’obtenir des résultats validés.

Ci dessous image de sang humain après inoculation du vaccin. Micrographie d’un amas de carbone d’oxyde de graphène réduit (rGO).  » Notez que les globules rouges s’agglomèrent dans et
autour du cristal rGO dans une condition connue sous le nom de Rouleau ! Un mot français qui signifie “empiler” 
analyse le docteur Young.

 

 

Quels sont les ingrédients non divulgués contenus dans les vaccins  Pfizer, Moderna, Astrazeneca et  Janssen ?

Pour répondre à cette question, une fraction aqueuse des vaccins Pfizer, Moderna, Astrazeneca et Janssen a été prélevée dans chaque flacon, puis examinée séparément, sous microscope, montrant des preuves anatomiques de particules d’oxyde de graphène réduit (rGO).

Les ingrédients non divulgués du “ vaccin ” de Pfizer :

Les observations en microscopie du produit vaccinal de Pfizer, ainsi que des produits vaccinaux de Moderna, Astrazeneca et Janssen ont révélé certaines entités qui peuvent être des bandes de graphène, comme le montre l’image ci dessous  :

Ci- dessous Images d’oxyde de graphène sous différents aspects et en plus gros plans :

Ci-dessous image de la capside du liposome contenant le rGO ( Oxyde de Graphène réduit ) que Pfizer utilise pour véhiculer l’oxyde de graphène de son produit en attachant la capside du liposome à des molécules d’ARNm spécifiques pour conduire le contenu du liposome de rGO vers des organes, des glandes et des tissus spécifiques, à savoir les ovaires et les testicules, la moelle osseuse, le cœur et le cerveau.

L’identification définitive de l’oxyde de graphène par microscopie TEM est présente dans les 4 vaccins CoV-2-19 ! En utilisant la microscopie électronique à transmission (MET), nous avons observé une matrice ou un maillage complexe de feuilles de rGO ( = oxyde de graphène réduit )  flexibles, translucides et pliées, avec un mélange d’agglomérations multicouches plus sombres et de
monocouches dépliées de couleur plus claire, comme le montre l’image ci-dessous :

l’image ci-dessus montre un amas de nanoparticules de graphène dans un vaccin Pfizer. Elles semblent être agrégées comme le montre les images ci dessous :

La diffractométrie des rayons X révèle leur nature de nanoparticules cristallines de rGO à base de carbone.  Le contenu chimique et élémentaire de la fraction liquide du vaccin Pfizer a ensuite été analysé par spectroscopie à rayons X  à dispersion d’énergie (EDS). Le spectre EDS a montré la présence de carbone, d’oxygène, vérifiant les éléments rGO, ainsi que de sodium et de chlorure.

L’image ci-dessus montre des débris de 20 microns de longueur identifiés dans le soi-disant “ vaccin ” Pfizer contenant du carbone, de l’oxygène, du chrome, du soufre, de l’aluminium, du chlorure et de l’azote.

Les images suivantes ci-dessous montrent une micrographie de différentes micro et nanoparticules qui ont été identifiées dans les vaccins Pfizer, Moderna, Astrazeneca et Janssen et analysées au microscope électronique à balayage (MEB) couplé à une microsonde à rayons X d’un système à dispersion d’énergie (SDE) qui révèle la taille des particules, la distribution de la composition et la nature chimique des micro et nanoparticules observées.

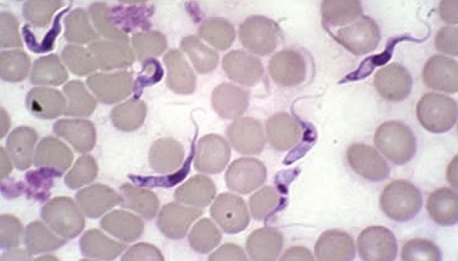
Un corps allongé de 50 microns est une présence mystérieuse et nette dans le vaccin  Pfizer. Il apparaît et est identifié anatomiquement comme un parasite Trypanosoma cruzi dont plusieurs variantes sont létales et constituent l’une des nombreuses causes du syndrome d’immunodéficience acquise ou SIDA.

L’image ci-dessus identifie une composition de nanoparticules et confirme donc la présence d’un parasite Trypanosoma d’environ 20 microns de long trouvé dans le soi-disant “ vaccin ” Pfizer. Il est composé de carbone, d’oxygène, de chrome, de soufre, d’aluminium, de chlorure et d’azote.

Parasite Trypanosoma cruzi vivant dans du sang  inoculé par le vaccin et détecté grâce à Une micrographie par microscopie à contraste de phase. l’image identifie une composition de nanoparticules comprenant du carbone, de l’oxygène, du chrome, du soufre, de
l’aluminium, du chlorure et de l’azote, que l’on retrouve également dans les “vaccins” CoV-19.

Les images suivantes montrent une micrographie de différentes micro et nanoparticules qui ont été identifiées et analysées sous un microscope électronique à balayage (MEB) environnemental couplé à une microsonde à rayons X d’un système à dispersion d’énergie (SDE) qui révèle la nature chimique des micro et nanoparticules observées et leur morphologie.

L’image ci-dessus montre les particules de taille nanométrique et micronique identifiées dans le “vaccin ” Pfizer. La particule blanche de 2 microns de long est composée de bismuth, carbone, oxygène, aluminium, sodium, cuivre et azote.

l’image ci-dessus  montre un agrégat organique (carbone-oxygène-azote) avec des nanoparticules de bismuth, de titane, de vanadium, de fer, de cuivre, de silicium et d’aluminium incorporées dans le “vaccin ” Pfizer.

Les ingrédients non divulgués du “vaccin” d’Astrazeneca :

L’image ci-dessous montre un agrégat de fer, de chrome et de nickel, également connu sous le nom d’acier inoxydable, composé de micro et nanoparticules incorporées et identifiées dans le “ vaccin ” d’Astrazeneca, observé au microscope électronique à transmission (MET) et quantifié à l’aide d’une microsonde à rayons X d’un système à dispersion d’énergie qui révèle la nature chimique des micro et nanoparticules observées et leur morphologie.

L’instrument XRF (X-ray fluorescence) a été utilisé pour évaluer les adjuvants du “ vaccin ” Astrazeneca, ce qui a permis d’identifier les molécules suivantes : histidine, saccharose, polyéthylène glycol (PEG) et alcool éthylénique, également contenues dans les “vaccins” Pfizer et Moderna.

Le PEG et l’alcool éthylénique sont tous deux connus pour être cancérigènes et génotoxiques. Le PEG était le seul adjuvant déclaré sur la fiche technique énumérant les ingrédients du “ vaccin ” Astrazeneca, mais contenu également dans les “ vaccins ” Pfizer et Moderna.

Les ingrédients non divulgués du “vaccin” de Janssen :

L’image suivante montre un agrégat organique-inorganique identifié dans le “vaccin” de Janssen. Les particules sont composées d’acier inoxydable et sont collées ensemble avec une “ colle à base de carbone ” d’oxyde de graphène réduit. Cet agrégat est hautement magnétique et peut déclencher une coagulation sanguine pathologique et “ l’effet Corona ” ou “ l’effet protéine en pointe ” créé par la dégénérescence de la membrane cellulaire due aux interactions avec d’autres dipôles. Cet agrégat d’acier inoxydable est composé de carbone, d’oxygène, de fer et de nickel, maintenu par de l’oxyde de graphène.

L’image ci dessous montre des éléments de carbone, d’oxygène, de fer et de nickel réunis par de l’oxyde de graphène. L’ effet  » Corona ” et la ” protéine de pointe ” créés de manière endogène sont causés par un empoisonnement chimique et radiologique dû à l’oxyde de graphène réduit et aux rayonnements micro-ondes !

Ci-dessous image de“L’effet Corona” et de la création endogène d’exosomes due à l’empoisonnement chimique et radiologique des fluides vasculaires et interstitiels de l’interstium.

L’image qui suit montre “ l’effet Corona ” et la naissance endogène de pics de protéines S1 causés par les radiations et l’empoisonnement chimique ou ce que le docteur Robert Young appelle “ l’effet de pic de protéines ”.

La micrographie ci-dessus montre la création endogène des “pics de protéines” comme une infection. Les images précédentes montrent “L’EFFET CORONA” sur les globules rouges montre “L’EFFET PROTÉINE SPIKE”, tous deux causés par une acidose décompensée des fluides interstitiels et vasculaires provenant d’un mode de vie acide et plus particulièrement d’une exposition à des champs électromagnétiques pulsés toxiques à 2,4 GHz ou plus, d’un empoisonnement chimique provenant de la nourriture et de l’eau ingérées, d’une pollution atmosphérique acide toxique, de chemtrails  et, pour couronner le tout, d’une inoculation de CoV-19 à base de nano particules chargées de produits chimiques !

Docteur Robert Young  :   » S’il vous plaît, laissez vos sentiments et vos fausses croyances à la porte avant que VOUS ne vous fassiez du mal prématurément « 

Les ingrédients non divulgués du “ vaccin ” Moderna  : 

L’étude a identifié une entité mixte de matières organiques et inorganiques contenue dans le “vaccin” Moderna. La microscopie électronique à transmission (TMS) et la quantification à l’aide d’une microsonde à rayons X d’un système à  dispersion d’énergie (EDS) ont révélé la nature chimique des micro et nanoparticules observées. Le “vaccin” Moderna est un substrat d’oxyde de graphène réduit à base de carbone dans lequel sont incorporées des nanoparticules. Ces nanoparticules sont composées de carbone, d’azote, d’oxygène, d’aluminium, de cuivre, de fer et de
chlore.

L’image ci-dessus révèle la présence de nanoparticules cytotoxiques intégrées. Les micro et nano particules observées sont de nature chimique. De nombreux corps étrangers ont été identifiés avec une morphologie sphérique avec quelques cavités en forme de bulles.

l’image ci-dessous montre qu’ils sont composés de carbone, d’azote, d’oxygène, de silicium, de plomb, de cadmium et de sélénium. Cette  composition de nanoparticules hautement toxiques sont des points quantiques de séléniure de cadmium qui sont cytotoxiques et génotoxiques.

L’image suivante montre les nano-points dans l’oxyde de graphène trouvé dans le “ vaccin ” Moderna.

L’image ci-dessous révèle la composition cytotoxique et génotoxique des nanoparticules d’oxyde de graphène trouvées dans le “ vaccin ” Moderna.  le “vaccin” Moderna  révèlent un symplaste de 100 microns de composite de nanoparticules d’oxyde de graphène réduit. Le rGO est composé de carbone et d’oxygène avec une contamination de nanoparticules d’azote, de silicium, de phosphore et de chlore.

Les deux images accolées ci-dessous montrent des entités d’oxyde de graphène réduit à base de carbone dans le “ vaccin ” Moderna, mélangées à des agrégats remplis de nanoparticules de silicate d’aluminium.

Conclusions du Docteur Robert Young après l’étude de la composition des quatre vaccins  :

La pandémie de SRAS-CoVid-2-19 a incité les industries pharmaceutiques à développer de nouveaux médicaments qu’elles ont appelés vaccins.

Le mécanisme d’action de ces nouveaux médicaments, tel qu’il est déclaré par l’industrie pharmaceutique, associé à ce qui est indiqué dans la fiche technique des vaccins, n’est PAS clair pour les savants médicaux actuels qui comprennent que ces nouveaux médicaments produits par

  • Pfizer – le vaccin ARNm BioNTech,
  • le vaccin ARNm-1273 Moderna-Lonza,
  • le vaccin Serum Institute Oxford Astrazeneca et
  • e vaccin Janssen COVID -19, fabriqué par Janssen Biotech Inc, une société pharmaceutique Janssen de Johnson & Johnson,

ne sont PAS des vaccins mais des médicaments nanotechnologiques fonctionnant comme une thérapie génétique.

Le nom “vaccin” est probablement un escamotage (ruse) utilisé pour des raisons bureaucratiques et technocratiques afin de recevoir une approbation d’urgence, en ignorant toutes les règles normales nécessaires pour les nouveaux médicaments, en particulier pour ceux qui impliquent de nouveaux mécanismes nanotechnologiques qui n’ont jamais été développés ni expérimentés par l’homme, où que ce soit, à n’importe quel moment de l’histoire du monde.

Tous ces soi-disant “ vaccins ” sont brevetés et leur contenu réel est donc tenu secret, même pour les acheteurs, qui, bien sûr, utilisent l’argent des contribuables. Ainsi, les consommateurs (les contribuables) n’ont aucune information sur ce qu’ils reçoivent dans leur corps par inoculation.

L’humanité est maintenue dans l’ignorance en ce qui concerne les processus technologiques de nanoparticules impliqués, les effets négatifs sur les cellules du corps, mais surtout l’effet possible de la nano-bio-interaction magnétotoxique, cytotoxique et génotoxique sur le sang et les cellules du corps.

Cette étude actuelle, qui consiste en une analyse directe des soi-disant “vaccins” susmentionnés à l’aide d’instruments technologiques à nanoparticules, révèle des informations troublantes et susceptibles de changer la vie des personnes concernées, concernant la vérité sur le contenu acide toxique réel de ces soi-disant vaccins.

Les médicaments Pfizer, Moderna, Astrazeneca et Janssen ne sont PAS des “vaccins” mais des agrégats complexes de nanoparticules d’oxyde de graphène composés de divers nano-éléments fixés à des acides nucléiques génétiquement modifiés d’ARNm provenant de cellules animales et de cellules fœtales humaines avortées, comme nous l’avons vu et décrit ci-dessus.

Une fois de plus, les ingrédients de ces soi-disant vaccins sont hautement magnétotoxiques, cytotoxiques et génotoxiques pour les membranes cellulaires des plantes, des insectes, des oiseaux, des animaux et des humains, ainsi que pour leur génétique, ce qui a déjà entraîné de graves accidents (estimés à plus de 500 millions) et/ou la mort (estimée à plus de 35 millions).

Les soi-disant “experts” ou “savants médicaux” VOUS disent que les vaccins contre le CoV -2 – 19 sont le SEUL moyen d’arrêter la propagation du CoV-19… même lorsqu’il n’y a AUCUNE PREUVE de son existence et AUCUNE PREUVE de sa propagation telle que déterminée par la méthode scientifique des postulats de Koch ou de Rivers !

Ces même experts affirment qu’ils sont sûrs – malgré les preuves documentées du contraire….. qu’ils sont efficaces – même si des millions de personnes “doublement piquées” tombent malades, s’exposent théoriquement à un VIRUS NON EXISTANT appelé CoV – 19, et meurent, non pas d’une infection virale fantôme mais de la PEUR ou de fausses preuves semblant réelles, et du contenu acide toxique de l’oxyde de graphène réduit délivré via l’ARNm génétiquement modifié à des organes cibles spécifiques du corps humain entraînant une coagulation sanguine pathologique, un manque d’oxygène, une hypercapnie, une hypoxie et ensuite la mort par suffocation.

Ci-dessous image d’une Coagulation intravasculaire disséminée (CIVD) ou coagulation sanguine pathologique !

Docteur Robert Young   :   » Ces experts affirment que VOUS DEVEZ recevoir au moins deux injections PLUS des “rappels” pour vivre une “vie normale”…  Et bientôt, ils vous diront que VOUS n’avez pas d’autre choix que de vous conformer à TOUTES leurs OBLIGATIONS ! « 

NE LAISSEZ PERSONNE VOUS ENLEVER VOTRE LIBERTÉ DE SANTÉ !

« C’est VOTRE corps, VOTRE vie et VOTRE choix ! La connaissance est le pouvoir. Et c’est la clé pour comprendre pourquoi les vaccins expérimentaux CoV -19 sont si dangereux – malgré le récit officiel des médias aux ordres qui suppriment et censurent quiconque ose s’exprimer. Vous avez le contrôle de votre propre santé. Ne soyez pas victime des gouvernements et des bureaucrates mondiaux qui poussent tout le monde à se faire vacciner. Le “philanthrope” milliardaire Bill Gates et les activistes milliardaires de Big Tech pensent savoir ce qui est le mieux pour vous et votre famille. Vous devez être libre de décider ce qui est bon pour vous. Ne laissez PAS les gouvernements et les employeurs vous forcer à vous faire “vaxxer” “pour votre bien”.  Et ne laissez jamais la culture de la censure vous rendre trop effrayé pour défendre vos droits !  » 

Ce rapport d’études effectué par le Docteur Young révèle tout ce qui n’est pas divulgué dans les notices des laboratoires ! La composition des  » vaccins  » dont l’appellation est impropre puisqu’il s’agit de thérapie génique présente des quantités importantes de substances très toxiques pour la santé humaine qui n’ont rien à faire dans ces injections. Et c’est bien parce que les laboratoires savent que leurs ingrédients endommagent les cellules humaines qu’ils ne les mentionnent pas dans leurs notices ! N’y-a-t-il pas là une volonté manifeste de nuire et de tromper tous ceux qui subissent leurs injections toxiques ? Et les dirigeants qui imposent cette vaccination de force ne se rendent-ils pas délibérément coupables d’un génocide en cours sous l’alibi fallacieux de protéger la santé publique ? N’est-ce pas une immense imposture et une monumentale tromperie dont les peuples endureront les dommages, voire mourront ?

Un acte médical non consenti imposé par la force, le chantage et des mesures coercitives est illégal et ne peut-être que l’œuvre de charlatans malveillants et de psychopathes qui ont vendu leur âme au diable ! Cette vaccination obligatoire est un acte criminel et cela est déjà démontrable !

Dossier  réalisé  et  article rédigé les 7, 8 et 9 Octobre  2021  par  Catherine  Medioni

Publié le 9 octobre 2021, dans Actualité, Politique, et tagué , , , . Bookmarquez ce permalien. 162 Commentaires.

  1. Avec une orthographe comme cela, vous êtes peu crédible et surtout un peu parano. Malgré 80% de français vaccinés les cadavres ne jonchent pas les rues.

    • Avatar de Catherine Medioni Catherine Medioni

      @ Mécréant | 17 octobre 2021 à 17 h 54 min

      De quoi vous plaignez-vous ? Si vous êtes vacciné, vous ne devriez rien craindre ! Comme l’affirment le gouvernement et l’OMS d’une seule voix,  » vous êtes protégés avec un vaccin d’une parfaite innocuité  » !

      A

    • Juste pour répondre à Mécréant : regardez le nombre de décès en 2020 et 2021, vous verrez qu il y a une nette augmentation des décès a partir du moment où on a commencer à vacciné. 🤣
      Vous inquiétez pas tout était prévu pour que les gens ne meurent pas de suite…dans la 1ere dose y avait beaucoup de placebo…un peu moin dans la 2eme…y en aura très peu dans la 3eme…
      Il faut faire un peu des recherches et ne pas se baser que sur les dires des médias mainstream.

    • Avatar de Trust Your Instinct Trust Your Instinct

      Non ils ne jonchent pas les rues , tout comme les morts du covid ne jonchent pas les rues non plus.
      La seule différence , c’est que choper le covid est hypothétique, et le risque d’en mourir encore plus, pour ne pas dire quasi nul pour 99% des gens, tandis que vos 80% d’injectés , eux le poison ils l’ont bien dans leur corps et c’est définitif , il fera lentement son office ( pour ceux qui n’ont pas eu la chance de recevoir le placébo chargé de dissimuler ce génocide à petits pas, ce sera pour les prochaines injections)
      pour les autres, regardez autour de vous, c’est un massacre , chacun connais désormais largement plus de monde touché par un effet secondaire de ce poison que de gens touchés par le covid ( même si parmi eux beaucoup nieront qu’ils sont des victimes du gouvernement et préfèreront croire à la théorie du hasard malheureux et improbable)
      Tu fais un AVC ou un infarctus à 20 ans 3 jours après l’injection du poison dans ton corps mais c’est JAMAIS la faute du poison.
      par contre t’es en soins palliatifs a 98ans en phase terminale d’un cancer, t’as vaguement le nez pris en mourant, et tu sera classé mort du méchant covid.
      Allez a l’abattoir pseudo vaccinale, personne ne vous retient, la terre est top peuplée qu’ils disent.

    • Écoute les croc mort parler , ils disent eux même qu’ils entere de plus en plus de gens et on ne nous parle pas des crématorium

    • Pour un mécréant, vous professée la religion scientiste actuelle avec panache! Et virulence… De nos jours les cadavres ne tombent pas dans les rues, mais les tanatopracteurs du monde entier disent le contraire de vous et de vos chiffres!

    • Il na même pas 40% des France Vacciner le Gouvernement a Menti OK bonne soirée et bonne continuation à tous Peace….✊😎😎

    • C’est que vous n’êtes pas du tout informé du nombre hallucinant de victimes de ces injections expérimentales !!
      Pourtant, il suffit de consulter Eudravigilance par exemple, lire les témoignages de trop nombreuses personnes relatant les effets indésirables graves et les décès autour d’elles depuis cette campagne de vaccination massive.
      Suffit de se rendre compte du nombre effarant de sportifs qui tombent comme des mouches (notamment dans le milieu du football) depuis 5 mois. Un hasard ? Sûrement pas.
      Renseignez-vous, bon sang !

    • VAERS et EudraVigilance rapporte des signalements de décès, non authentifiés, après une vaccination. Mais la cause des décès est inconnue, « après » ne veut pas dire « à cause de »

    • Non seulement 1000 morts officiels en France
      Aucun médecin ne veut remplir la base de données des effets graves, ils demandent aux patients de le Faire, ça ne vous interroge pas?
      Une paille … et si chaque mort était suivie d’autopsie?

    • Selon la pharmacovigilance, 1224 cas de décès ont été signalés après l’injection d’un vaccin contre le Covid-19 depuis le début de la vaccination. Mais « après » ne veut pas dire « à cause de ».
      Et combien de morts de la Covid ? 124000 en France.

  2. L’étude est très intéressante mais certains éléments qui ne font pas partie de l’étude sont manifestement faux. Si les vaccins avaient fait 35 millions de morts, on le saurait. Sachant qu’1% de la population décède chaque année, pour 1 milliard de personnes, on a environ 10 millions de décès par an. 35 millions est donc un chiffre énorme qui apparaîtrait nécessairement dans les chiffres officiels de décès et ce n’est pas (encore) le cas.
    C’est dommage qu’il y ait une telle erreur car cela remet en doute le reste de l’étude qui semble pourtant très sérieux.

    • Avatar de Catherine Medioni Catherine Medioni

      @ laurent | 19 octobre 2021 à 8 h 38 min

      Détrompez-vous car beaucoup de décès et de pathologies graves provoqués par ces injections ne sont jamais remontées à la pharmacovigilance. De nombreux médecins et scientifiques du monde entier estiment que ce qui est remonté ne représente que moins de 10 % de ce qui se passe dans la réalité. Alors peut-être que le chiffre de 35 millions de décès par vaccin est exagéré, mais dans tous les cas on ne peut nier qu’il en existe, et moralement et déontologiquement ce sont des morts inacceptables et de trop ! J’espère que vous en conviendrez !

      Il y a une telle volonté d’inoculer ces vaccins de force qu’on peut légitimement supposer que tout est mis en oeuvre pour minimiser les décès et les pathologies graves induites par ces injections….

    • et bien en fait si l’on se réfère à plusieurs sources différentes, elles concordent toutes pour dire que chaque année, il n’y a non pas 10 millions de décès par an mais plus de 59 millions.

      *et si on reprend votre caclule 1% de la populaton décède chaque année (7.8 milliards) cela correspond à 78 millions de décès annuel…

      sachant que plus de 5.2 milliards de doses ont été administrées dans le monde…
      le chiffre de 35 millions de décès est donc plus que très probable!

    • Qui vous donne les chiffres soi disant officiels?

  3. Avatar de Catherine Medioni Catherine Medioni

    @ Liberté | 19 octobre 2021 à 8 h 36 min

    Ce que vous révélez est tout à fait pertinent. En effet ces  » vaccins  » qui n’en sont pas et qui n’ont plus rien à voir avec les procédés de fabrication mis en place par Pasteur, comportent des lots de fabrication différents parmi lesquels se trouvent des placébos, des formes peu actives dans les effets nocifs ( du moins pour l’instant ) et d’autres carrément virulentes, ce qui a provoqué ces péricardites, myocardites, crises cardiaques fatales, paralysie faciales, zonas, AVC etc….que l’on a vu fleurir partout chez les plus malchanceux de la  » roulette russe  » car c’est une véritable  » roulette russe  » qui a été imaginée et concoctée pour que les citoyens ne voient pas immédiatement les effets dommageables sur la santé humaine.

    Tout ceux qui défendent bec et ongles cette injection toxique sont précisément ceux qui pour l’instant ont été épargnés par les effets secondaires graves de ces  » vaccins « …. Nous verrons bien si dans quelques temps ils tiendront toujours le même discours, et s’ils ne se poseront pas quelques questions lorsqu’ils contracteront des maladies improbables ou des handicaps invalidants et inattendus ou encore lorsqu’ils perdront soudainement et brutalement des êtres chers qui se portaient pourtant très bien avant leurs injections….

    Quand aux médias tous détenus par des financiers qui ont porté Macron au pouvoir, comment voulez-vous qu’ils diffusent la vérité ? Ils ne font plus qu’alimenter la défiance légitime des citoyens qui usent encore de leur capacité de réflexion !

    • vous écrivez « comportent des lots de fabrication différents parmi lesquels se trouvent des placébos, des formes peu actives dans les effets nocifs ( du moins pour l’instant ) et d’autres carrément virulentes, ce qui a provoqué ces péricardites, myocardites, crises cardiaques fatales, paralysie faciales, zonas, AVC etc…. »
      Ce n’est plus de la désinformation, mais du MENSONGE manifeste. Relisez-vous et vous verrez que vos mensonges sont gros comme des maisons. Comment osez-vous écrire cela. De telles accusations mensongères rentrent dans le domaine pénal.
      Le plus grave, c’est qu’il y a des lecteurs qui vont vous croire.

    • @out
      Ici, ce qui est important, ce n’est pas la qualité de l’information ni l’intérêt des aulnaysiens, c’est la fréquentation. Mr Kubaki s’en est félicité sur son bilan 2021. Plus c’est gros, mensonger, désinformateur, plus cela fait de flux, plus il est content. Leur déshonneur est là!

  4. A la lecture de ce document et même si j’ai toujours été convaincu des motivations génocidaires de toute cette propagande orchestrée par télécouillon et autres merdias , je reste dubitatif,et pantois à l’idée que cette irréfutable preuve ne puisse faire son chemin afin d’ouvrir les yeux 👀 du plus grand nombre !!??

    • Avatar de Catherine Medioni Catherine Medioni

      @ Bonnotte gerard | 20 octobre 2021 à 3 h 19 min

      Malheureusement nous n’avons pas le pouvoir d’ouvrir les yeux à ceux qui veulent rester aveugles et qui y trouvent peut-être quelques intérêt personnel …. Notre société ne manque pas de redresseurs de torts, de juges auto-proclamés, de censeurs qui voudraient s’ériger en police autoritaire de la pensée et qui pensent avoir le droit et le pouvoir d’imposer LEUR vérité à ceux qui n’en veulent pas !

      Nul n’aura jamais le pouvoir de contrôler la pensée et la réflexion des gens tant qu’ils refusent catégoriquement de recevoir ces vaccins qui n’en sont pas, ce qui serait certes un véritable totalitarisme, cependant tous ceux qui ont accepté de gré ou de force la piqure criminelle et liberticide seront mentalement et psychiquement contrôlés grâce aux gadgets numériques qui les pistent et enfreignent le seuil de leur vie privée, dont ils raffolent dans une totale inconscience car ils deviennent les instruments de leur aliénation et leur future servitude, et grâce au déploiement des antennes 5G qui activeront le moment venu les nanoparticules introduites dans les substances de ces vaccins !

      Soyez certains que lorsque tout cela sera activé, vous ne reconnaitrez plus, parmi les injectés, certains membres de votre famille et même des amis dont vous serez obligés de vous éloigner car ils seront pilotés pour agir dans le sens exigé et voulu par ceux qui nous gouvernent, et n’hésiteront pas non plus à vous trahir ni à vous vendre estampillés  » traitres  » à la nation. Il n’y aura plus de liens affectifs, ni d’amour, uniquement la loi reconnaissable entre toutes, la marque de la bête, celle de Satan !

      Ce phénomène est d’ailleurs déjà perceptible, hélas !

    • C’est le plus terrifiant en fait, l’aveuglement et la soumission ! Car c’est l’éveil seul qui peut tout changer ! Les monstres à sang froid on connaît leur existence ! Je me demandais pourquoi autant de films de zombies étaient produits…

  5. INSTRUCTIF UTILE LE DROIT D’ AVOIR UN AUTRE AVIS .

  6. Avatar de Catherine Medioni Catherine Medioni

    @ Joly | 26 octobre 2021 à 3 h 13 min
    @ Binart | 21 octobre 2021 à 14 h 18 min
    @ josé garcia | 21 octobre 2021 à 21 h 00 min

    Nous avons tous le pouvoir de dire non au génocide en cours. Et ceux qui ne le font pas et qui préfèrent rester aveugles se rangent du côté des criminels !

    • Mais non, il n’y a pas de génocide en cours à cause des vaccins. 9 milliards d’injections. On n’a pas vu des milliards de génocidés.
      Ça vous apporte combien d’afirouaper ainsi les gogos ?

    • Les vaccins ne sont pas génocidaires. Avec 9 milliards de doses administrés, je n’ai pas vu des milliards de « génocidés » !!!

  7. 6 à 7 000 décès par JOUR de toutes causes (cancers, cancer, cancer, avc, diverses maladies graves, crimes, accidents ménagers, de travail, de route, suicides…) rien qu’en France qui représente 1% de la population mondiale. Le Covid est un enfumage, une imposture de la Franc Maçonnerie Mondialiste (avec le G.O.F. en poupe). Avec le covid ils nous font regarder par le petit bout de la lorgnette, afin de ne pas voir le principal tout autour…En France ils ont apeurés les Gilets Jaunes, les Bonnets Rouges, etc…;et le peuple inculte est rentré sous le masque, les injections, le QrCode….Il est tant que la France millénaire se réveille…

  8. Ça me e fait penser à la série « Les envahisseurs »,

    A présent, Catherine Medioni sait que les politiques et médias (dont Mon Aulnay) mentent, qu’ils ont pris forme de scientifiques et il lui reste à convaincre un monde incrédule que le cauchemar a déjà commencé… »

    Catherine Medioni seule et une poignée de résistants peu nombreux contre tous…

    • Il arrive que ce soit ceux qui se prétendent résistants qui mentent.
      Robert Young (qui n’est pas Dr) est un « naturopathe », sans diplôme, et il n’a certainement pas accès à un microscope électronique, un appareil à 2 M€ qui doit fonctionner en salle blanche. Ces photos ne sont que des copies « venues d’ailleurs »
      Les prétendus globules rouges n’y ont pas la taille des vrais !!!

    • Mais non, c’est C.Medioni, et la majorité de ceux qui écrivent sur cette page, qui mentent

    • Il semblerait surtout que Robert Young (qui n’est pas docteur, et qui ne peut avoir accès à un microscope électronique) soit auteur d’une supercherie. Il n’y a ni graphène, ni oxyde de graphène, ni parasite tropical, ni « chose vivante » en alu.
      Les photos de son blog sont des piratages de documents sans rapport.

    • Je le redis encore une fois. Robert Young est un « naturopathe », il n’est pas un docteur, ni un scientifique. Il n’a aucun diplôme, et il a été condamné pour exercice illégal de la médecine.
      Il ne peut avoir accès à un microscope électronique qui permettrait de pendre les photos qu’il a mis sur son blog. Ces photos sont des piratags de documents n’ayant rien à voir.

  9. Big Pharma avoue : « Pfizer/BioNTech et Moderna : lien possible avec de très rares cas de myocardites »
    https://www.lemoniteurdespharmacies.fr/actu/actualites/actus-socio-professionnelles/vaccins-anti-covid-19-myocardites-et-guillain-barre-sur-les-notices.html

    le graphène cause des myocardites donc cela a du sens

    , il y a des chanceux qui tombent sur les placebos au sérum physiologique
    https://www.rtl.fr/actu/bien-etre/coronavirus-comment-expliquer-les-vaccinations-au-serum-physiologique-7900025259
    https://www.lefigaro.fr/flash-actu/covid-19-140-patients-vaccines-par-erreur-au-serum-physiologique-20210424

    Le psychiatre Alessandro Meluzzi : « Les VIP reçoivent de faux vaccins, je le jure sur la tête de ma fille ! »

    Tandis que les célébrités font semblant de se faire piqouzer avec des séringues vides
    https://nypost.com/2020/12/19/texas-hospital-appears-to-give-worker-fake-covid-19-vaccine/

    les exemptés du « vaccin » exposés par des hackers

    Vaccine Exemption HIJACKERS Exposed! (Video)

    « Tous les clients à partir de 12 ans des lieux et transports concernés devront avoir leur pass, ainsi que leurs salariés (serveurs des restaurants, contrôleurs de trains, etc.) mais pas les policiers ou gendarmes. »
    https://www.20minutes.fr/societe/3083871-20210714-coronavirus-amende-45000-euros-etablissements-controlant-pass-sanitaire
    https://www.francesoir.fr/actualites-france/amende-de-45000-euros-prevue-pour-les-etablissements-ne-controlant-pas-le-pass

    -« L’obligation vaccinale qui entrera en vigueur à partir du 15 septembre ne concernera pas les forces de l’ordre, précise le ministère de l’Intérieur. »
    https://www.leparisien.fr/societe/covid-19-les-pompiers-concernes-par-lobligation-vaccinale-mais-pas-les-policiers-et-les-gendarmes-13-07-2021-V6KC6KHPRFFN5JW5IERATXR42Y.php

    les employés de Big Pharma exemptés de la piqouze

    Leaked Documents Reveal Pfizer Does Not Mandate Vaccines For Its Employees

    LE CHASSEUR DE VENTES DU PFIZER DÉCLARE QUE PRÈS DE 200 000 PERSONNES SONT DÉCÉDÉES DES » VACCINS » EN UNE SEMAINE (Vidéo)

    PFIZER WHISTLEBLOWER SAYS CLOSER TO 200,000 HAVE DIED FROM « VACCINES » WITHIN A WEEK (Video)

    D’horribles caillots sortent du patient sous dialyse « vaccin » lorsque les tubes sont retirés (Photo)

    Horrific Clots Come Out Of VAXED Dialysis Patient When Tubes Are Removed (Photo)

    Regardez ce qui est sorti des poumons d’un patient récemment vacciné !

    Look What Came Out Of A Recently Vaxed Patient’s Lungs!

    UNE FEMME DE 20 ANS GRAVEMENT BLESSÉE PAR LE VACCIN PFIZER (Vidéo)

    20 YEAR OLD WOMAN SERIOUSLY INJURED BY PFIZER VACCINE (Video)

    Un autre Hollywoodien meurt peu de temps après avoir reçu un double vaccin

    Yet Another Hollywooder Dies Soon After Double Vax

    Scientifique de Pfizer : « Je travaille pour une société diabolique »

    Pfizer Scientist: “I Work for an Evil Corporation”

    ACTUALITÉ : Project Veritas filme les scientifiques de Pfizer disant que « vos propres anticorps contre le COVID sont probablement meilleurs que le vaccin de Pfizer ».

    BREAKING: Project Veritas Videos Pfizer Scientists Saying ‘Your Own COVID Antibodies are Probably Better than the Pfizer Vaccine’

    • Non, le graphène ne cause pas de myocardite. Et non, il n’y a pas de graphène, ni d’oxyde de graphène dans les vaccins.
      Après un vaccin, ce sont bien vos propres anticorps qui agissent. Les vaccins ne contiennent pas d’anticorps.
      FAUX et archi-FAUX 200000 personnes ne sont pas mortes des vaccins en une semaine.

    • stateofthenation ne publie que des fakes. J’ai du mal à imagier que certains y croient

    • A partir du moment où tu écris « piqouzer » au lieu de « vacciner » , tu prouves ta mauvaise foi.

  10. Avatar de Docteur connu à Aulnay Docteur connu à Aulnay

    Et moi je redis OUT est « en dehors » du sujet, lol
    Et… n’est pas chercheur du tout, ras le bol de ces trolls anonymes. Assumez votre identité monsieur si vous êtes vraiment ce que vous prétendez être.

    Madame Medioni a raison et je suis qualifié pour le certifier

    • Parce que « Docteur connu à Aulnay » ce n’est pas anonyme, peut-être ???
      Il n’y a pas de graphène ni d’oxyde de graphène dans les vaccins.

      Elle est où votre qualification ?

      PS- troll = « personne que vous ne voulez pas écouter parce qu’elle vous prouve que vous avez tort »
      PS2- Hé si, chercheur, c’est mon métier depuis 45 ans.

  11. Avatar de Troll (Et j'assume, lol) Troll (Et j'assume, lol)

    @Arnaud, au vu de la tournure des événements, il serait peut-être intéressant, pour vous même et vos lecteurs, de savoir ce qu’on pense de votre blog

    Qu’en pensez-vous ? Je vous propose de créer un petit sondage 😀
    Car le nombre de vues, n’assure pas l’opinion réelle de votre lectorat

    On tente ? 🤔😉

  12. Avatar de Catherine Medioni Catherine Medioni

    @ out | 2 novembre 2021 à 21 h 27 min

    Il ne suffit pas d’affirmer qu’il n’y a pas de graphène dans ces vaccins pour que vos allégations que nous estimons mensongères et trompeuses soient vraies !

    De toutes les manières, il est inutile de discuter parce que les citoyens sont assez grands pour décider de ce qu’ils veulent faire avec leur corps, leur vie et leur santé et cela seul est indiscutable ! Et ce n’est pas un chef d’état tyrannique et malfaisant envers son peuple, qui se prend pour Dieu alors qu’il sert plutôt le Malin, qui va déposséder par le chantage, les mesures coercitives, les pressions ou les menaces de toutes sortes, les êtres humains de leur propre corps !

    En agissant ainsi, il ne fait que démontrer, lui et les membres de son gouvernement, qu’ils ne sont épris que de pouvoirs absolu et abusifs ! Le peuple ouvre de plus en plus les yeux sur ce qui se trame. Ne croyez surtout pas que nous allons indéfiniment accepter les brimades, les humiliations, les actes de coercition démesurés et disproportionnés, ni tolérer indéfiniment que nos libertés et nos droits de naissance soient indéfiniment séquestrés dans un état d’urgence permanent qui ne se justifie plus, pour un virus peu létal qui n’est que le prétexte fallacieux à notre mise en esclavage.

    • Il ne suffit pas de dire qu’il y a du graphène, ou des « choses vivantes en alu » dans les vaccins pour que cette allégation soit vraie.
      Par contre, ce qui est vrai, c’est que Robert Young n ‘est pas Dr, n’a aucun diplôme, a été condamné pour exercice illégal de la médecine.
      Ce qui est vrai, c’est pas qu’un obscur naturopathe (ce qui n’est pas un diplôme) ne peut avoir accès à un microscope électronique qui nécessite des budgets de plusieurs millions de $, et ne peut donc avoir pris les photos qu’il montre.

    • Le trypanosome est trouvé dans le sang des victimes de la maladie du sommeil. Qu’ils soient ou non vaccinés.
      Il est transmis par la mouche tsé-tsé en Afrique, et d’autres insectes en Amérique du Sud. Pas par le vaccin.
      Quand je vous disais que Zalewski et Young racontent n’importe quoi !!!

    • Mme Medioni, expliquez-nous comment une image pourrait « révèler la composition cytotoxique et génotoxique » de quoi que ce soit ?

  13. Mme Medioni, expliquez-nous comment une image pourrait « révèler la composition cytotoxique et génotoxique » de quoi que ce soit ?

  14. Avatar de Catherine Medioni Catherine Medioni

    @ Valoumi | 6 novembre 2021 à 20 h 00 min

    Il faut que les personnes qui sont témoins ou victimes de ces vaccins osent parler et dénoncer la supercherie. Il n’est pas normal qu’en croyant se protéger d’un virus, on soit manipulés au point d’accepter de recevoir une substance sur laquelle nous n’avons aucun recul sur le court, moyen et long terme, ni aucune garantie d’innocuité et qui va altérer notre santé ou même nous faire mourir…

    Nos dirigeants et l’oligarchie occulte qui les pilotent trouvent que nous sommes trop nombreux sur terre, ce qui n’est pas faux, mais qui a envie de jouer à la roulette russe avec ces doses qui se répètent et qui veut prendre le risque insensé de s’exposer à des maladies irréversibles ou à un décès alors qu’il est en parfaite santé sans ces injections ?

    S’il faut le Covid est moins dangereux que ces vaccins. Dans tous les cas il n’est pas aussi létal que ce qui nous a été présenté par nos dirigeants menteurs et manipulateurs, lesquels ont bien augmenté artificiellement les chiffes de décès covidiens en donnant du cash aux hôpitaux pour les morts du Covid ! Ceux qui sont décédés durant le Covid pour d’autres raisons, ont été opportunément étiquetés  » morts du Covid  » !

    Nous sommes tous embarqués dans un Titanic qui est en train de couler et apparemment, ceux de l’étage supérieur ne se rendent compte de rien……..

  15. Oh encore un post foireux qu’il faut rétracter: https://www.sciencepresse.qc.ca/actualite/detecteur-rumeurs/2021/10/25/verification-eclair-robert-young-source-fiable
    Young n’est donc pas « docteur », ni en médecine ni en naturopathie et même sa propre biographie, sur son site, le présente plutôt comme un spécialiste en nutrition. Avant la pandémie, son nom était avant tout associé à des livres et des articles sur des médecines alternatives, ce qui n’est pas non plus une expertise pertinente pour ce sujet.
    Young avait aussi été arrêté en 1995 et en 2001, en Utah, pour exercice illégal de la médecine. Et il a été à nouveau condamné en 2018, en Californie, à payer 105 millions$ en dommages à l’une de ses victimes.
    Bref, en termes de crédibilité, c’est douteux, pour dire le moins.
    Fact Check-COVID-19 vaccines do not contain graphene oxide https://www.reuters.com/article/factcheck-grapheneoxide-vaccine-idUSL1N2OZ14F
    [NDLR : partie modérée]
    Qui est le maitre Brusa qui nous fournit ce rapport lamentable? https://factandfurious.com/fact-checking/amm-pfizer-biontech-decret-quand-carlo-alberto-brusa-desinforme-impunement
    Oh c’est un spécialiste des fausses affirmations!
    Verifiez les sources devraient être la base d’un travail d’informations. Les recoupez aussi!
    Ici, dès qu’il y a une info sur les vaccins anti covid, c’est du bidonné.

  16. merci MERCI

  17. Robert Young n’est pas Dr. Il n’a jamais présenté aucun thèse de Doctorat et n’a jamais présenté aucun article scientifique. Il s’intitule lui-même naturopathe. Il n ‘a aucun accès à un microscope électronique (appareil de plusieurs M€, qui nécessite une « salle blanche » de plusieurs dizaines M€) i de spectrographe X, ..
    Il a récupéré des photos à droite et à gauche et prétend les avoir pris lui-m^me sur des échantillons de vaccins. Vous croyez vraiment qu’un individu puisse récupérer plusieurs flacons (soit une centaine de doses) ?

  18. Voici la liste de toutes mes contributions récentes au sujet de la fausse pandémie et du génocide vaccinal au parfum de graphène

    https://t.me/brigadesantigraphene

    Rapport Pablo Campra: http://xochipelli.fr/wp-content/uploads/2021/12/Rapport-Campra.pdf

    Nouvelles des Brigades Anti-Graphène
    Décembre: http://xochipelli.fr/2021/12/nouvelles-des-brigades-anti-graphene-decembre-2021/

    Novembre: http://xochipelli.fr/2021/11/nouvelles-des-brigades-anti-graphene-novembre-2021/

    Octobre: http://xochipelli.fr/2021/10/nouvelles-des-brigades-anti-graphene-octobre-2021/

    Septembre: http://xochipelli.fr/2021/08/nouvelles-des-brigades-anti-graphene/

    La Fraude du Covid 19 et la Guerre à l’encontre de l’Humanité
    http://xochipelli.fr/2021/11/la-fraude-du-covid-19-et-la-guerre-a-lencontre-de-lhumanite/

    Au sujet de la Graphénisation de l’Atmosphère

    http://xochipelli.fr/2021/12/au-sujet-de-la-graphenisation-de-latmosphere/

    La Couronne Nécro-Moléculaire de Graphène
    http://xochipelli.fr/2021/10/la-couronne-necro-moleculaire-de-graphene/

    Sexe, Vaccins and Rock the Dolls! Le Sperme au Parfum de Graphène: un Terminator de la Fertilité Féminine?
    http://xochipelli.fr/2021/11/los-cantos-de-xochi-sexe-vaccins-and-rock-the-dolls-le-sperme-au-parfum-de-graphene-un-terminator-de-la-fertilite-feminine/

    Toxicité des nano-particules de Graphène pour le système de reproduction des insectes, des poissons et des mammifères
    http://xochipelli.fr/2021/10/toxicite-des-nano-particules-de-graphene-pour-le-systeme-de-reproduction-des-insectes-des-poissons-et-des-mammiferes/

    Sources d’Anti-Oxydants pour Détruire la Couronne Nécro-Moléculaire d’Oxyde de Graphène
    http://xochipelli.fr/2021/09/sources-danti-oxydants-pour-detruire-la-couronne-necro-moleculaire-doxyde-de-graphene/

    Une Pandémie d’Oxyde de Graphène?

    http://xochipelli.fr/2021/08/une-pandemie-doxyde-de-graphene/

    Des encres à base de graphène comme bio-senseurs dans les vêtements, dans les chaussures… et dans les tatoos!
    http://xochipelli.fr/2021/11/des-encres-a-base-de-graphene-comme-bio-senseurs-dans-les-vetements-et-dans-les-chaussures-et-dans-les-tatoos/

    Los Cantos de Xochi. Rudy Reichstadt: le Guru Conspirationniste de la Meute Médiatique
    http://xochipelli.fr/2021/11/los-cantos-de-xochi-rudy-reichstadt-le-guru-conspirationniste-de-la-meute-mediatique/

    Los Cantos de Xochi. Le Sacrement de la Vaccination et le Culte Covidien de l’Enfant-Vaudou
    http://xochipelli.fr/2021/09/los-cantos-de-xochi-le-sacrement-de-la-vaccination-et-le-culte-covidien-de-lenfant-vaudou/

    Los Cantos de Xochi: Nous Sommes en Guerre de Guérison à l’encontre d’un Virus bien Visible
    http://xochipelli.fr/2021/08/los-cantos-de-xochi-nous-sommes-en-guerre-de-guerison-a-lencontre-dun-virus-bien-visible/

    • quel sacré ramassis de fake news !
      Ça vous fait jonguer ?

    • Avatar de Catherine Medioni Catherine Medioni

      @ xochipelli2012 | 2 janvier 2022 à 11 h 35 min

      Merci pour toutes vos contributions et tous ces liens qui devraient ouvrir les yeux et les consciences des gens qui ne sont pas trop stupides ni bornés, pour comprendre que l’oxyde de graphène contenu dans les vaccins, mais également dans les tests et dans les masques, est une substance absolument cytotoxique pour la santé humaine !

      L’oxyde de graphène n’a strictement rien à faire dans ces vaccins !

    • Il n’y a pas d’oxyde de graphène dans les vaccins ni dans les écouvillons des tests PCR. Il faut avoir « fumer la moquette » pour croire de telles inepties.

    • Et qui sont ces « nombreux médecins » qui analyse les vaccins ? Vous avez des noms ?
      Et non, il n’y a pas de graphène dans ces vaccins ni d’animalcules métalliques. Ni Pablo Campra, ni Carrie Madej, ni Robert Young n’ont accès à un microscope électronique, et les photos de leurs publications sont des copies d’articles sur d’autres sujets. Faites un « google search » sur ces photos et vous trouverez d’où elles ont été pompées.

    • Ben non, il ‘y a pas de graphène, ni d’oxyde de graphène, mais il y a une poignée de charlatans qui prétendent avoir vu « des choses » dans les vaccins, ou dans le sang des vaccinés (Zalewski, C. Madej, R.Young, J.Bauer, Z.Botha, Jane Ruby, M.Campbell, Peters Stew, Burkhardt, Andreas Noack ). Mais il n’y en a pas deux qui aient vu la même chose !!! Et aucun ne sont des scientifiques.
      Il y en a même un qui prétend avoir vu des choses avec un instrument qui n’existe pas, un microscope « à champ vital ». Le pire, c’est qu’il y a des idiots qui les croient !!!

  19. Avatar de Catherine Medioni Catherine Medioni

    @ out | 2 janvier 2022 à 12 h 14 min

    Et bien évidemment, nous devrions accorder du crédit aux inepties et à la parole d’un troll camouflé sous un pseudo qui se répand en jugements arbitraires à l’encontre de personnes qui donnent de leur temps, de leur énergie et de leur personne pour ouvrir les consciences et éclairer leurs contemporains !

    Votre prosélytisme en faveur des vaccins mortifères qui n’arrêtent pas la propagation du virus, ni n’empêche de le contracter ou d’en mourir, vous classent parmi les collaborateurs de la dictature sanitaire de plus en plus décriés par les réfractaires de la première heure à ce vaccin qui n’en est pas un, et désormais rejoints par les vaccinés mécontents et blessés ou décédés suite à leurs vaccinations répétées.

    Les fakes news viennent du gouvernement et sont également de votre fait puisque vous les relayez avec quelques personnes bien repérées !

    Quant au mot  » Jonguer  » comprenne qui peut !

  20. il y a des personnes qui donnent de leur temps et de leur énergies, mais comme elles ne sont pas compétents, ou alors volontairement menteuses, et elles diffusent de fausses informations. Sans aucune source valable.
    Alors, rétablissons la vérité :
    Il n’y a pas de graphène dans les vaccins. Les vaccins anti-Covid ne sont pas mortifères. Robert Young n’est pas Dr, et il ne peut avoir accès à un microscope électronique.
    Les vaccins anti-Covid sont bien des vaccins : ils induisent la formation d’anticorps ciblé sur un élément clé du virus.
    Oui, ces vaccins ne sont pas efficaces à 100%, il n’existe aucun vaccin efficace à 100% (pour mémoire, la grippe, c’est 30% à 60% selon les années).
    Il ya déjà 122000 morts de la Covid en France, plus d’1M en Europe et 15 M ou plus (estimation a minima) dans le monde

    PS- peut-être bien que « Catherine Medioni » c’est un pseudo ??? Va savoir.
    [NDLR : Madame Medioni est bien réelle. Par contre, quel est votre véritable identité ?]

  21. Je vous rappelle que Young n’est PAS docteur. Il n’a jamais passé de thèse de doctorat.
    t il ‘a certainement pas les moyens d’acheter un microscope électronique (quelque millions de $) et encore moins la salle blanche nécessaire à son fonctionnement. Ces photos viennent d’ailleurs.

  22. Avatar de Catherine Medioni Catherine Medioni

    @ Revah | 10 janvier 2022 à 8 h 58 min

    Les médecins refusent de faire remonter les effets indésirables pour au moins deux raisons principales : cela prend beaucoup trop de temps de remplir le dossier et ils ne sont pas rémunérés pour cela, et ensuite ils ne veulent pas s’attirer les foudres de leurs pairs pro-vaccins et de l’ordre des médecins en risquant un blâme ou une radiation. Il faut être très courageux dans ce contexte de chasse aux sorcières pour faire remonter les effets indésirables graves car cela va à l’encontre de la culture dominante qui affirme coûte que coûte que les vaccins sont d’une parfaite innocuité, ce qui est totalement faux dans la vraie vie ! Les remontées de la France d’en bas, méprisée et niée dans ses souffrances engendrées par les effets délétères des injections le démontrent !

    • « Les médecins refusent de faire remonter les effets indésirables pour au moins deux raisons principales : cela prend beaucoup trop de temps de remplir le dossier et ils ne sont pas rémunérés pour cela, et ensuite ils ne veulent pas s’attirer les foudres d.. »

      Autant cette première partie est juste, autant la suite n’est que mensonge.
      Il n’y a pas d’effets délétères des injections. Déjà 9 milliards d’injections dans le monde. On n’a pas vu des milliards d’effets délétères.

  23. à OUT vous avez un problème d’ordre psychiatrique ,vous devriez consulter. il existe aujourd’hui des centaines d’études ou de documentations qui prouvent le toxicité des vaccins. Des milliers de Médecins le confirme un prix Nobel également, et pour finir le plus grand cabinet d’avocats d’ Allemagne a déposé plusieurs plaintes à ce sujet. Ces avocats ont un peu plus que votre certificat d’étude pour discuter de ces problèmes . Il est pourtant facile de se faire une idée avec toute la documentation Restez sur votre planète, celà ne nous dérange pas, Les affaires aux tribunaux internationaux vont démarrés dans une quinzaine de jours. https://gloria.tv/post/rrkDfwZHoRTc4TdpH9LqQsnCv https://www.businessbourse.com/2022/01/10/monstrueux-reiner-fuellmich-explique-avoir-des-preuves-que-des-lots-toxiques-de-vaccins-sont-utilises-dans-le-but-premedite-de-tuer-des-gens-vous-avez-1-chance-sur-200-de-tomber-sur-un-de-ces-lots/

    • Savez-vous que un avocat , Fuellmich Reiner ou un autre, n’st pas tenu de dire la vérité ?
      Non, il n’existe pas des centaines d’études qui prouvent la toxicité des vaccins. D’ailleurs vous êtes incapable de donner les références de ces hypothétique études. Et quel Nobel ? Le sénile Motagnier, ou le sénile Joyeux ?
      Vous, c’est plus que de la mythomanie. Des lots toxiques de vaccins pour assassiner des gens ? Vous êtes vraiment tombé sur la tête.

    • Alors QUI sont ces milliers de médecins qui confirmeraient la toxicité des vaccins ? Donner au moins 3 références, je vous prie. Ou reconnaissez que vous n’en avez pas.
      Bien sûr que j’ai plus qu’un certificat d’études, je ne m’appelle pas dario.
      Et depuis quand un avocat est-il docteur en sciences ?
      Et votre Nobel, c’est le sénile Motagnier, ou le sénile Joyeux ?

    • – Les « affaires aux tribunaux internationaux qui devaient démarrer sous une quinzaine de jours » sont en panne !
      – Votre référence « www.revivreautrement.fr/pfizer-2 » ‘existe pas !!!
      Quand aux « centaines d’études qui prouvent le toxicité des vaccins » en avez-vous regardé quelques unes ?
      J’en ouvre une au hasard «  »www.sciencedirect.com/science/article/pii/S2666602221000409 », et voici la conclusion
      « All experienced symptom resolution by the following day, and the two who have returned for follow-up had normal troponin-I and CRP values. »
      Cette référence ne démontre donc pas la nocivité de ces vaccins, au contraire.
      Les autres que j’ai regardées sont équivalentes, ou disent « on a observé une thrombose après une vaccination, mais on ne peut pas dire si la vaccination en est la cause » c’est peut-être son cancer qui déclenché la thrombose

  24. Vu le nombre de démissions :
    nov 2021:
    https://actu.fr/societe/coronavirus/15-000-soignants-non-vaccines-et-2-000-demissions-quelles-consequences-dans-les-hopitaux_45633845.html
    15 000 soignants non vaccinés et 2 000 démissions : quelles conséquences dans les hôpitaux ?
    À partir du 16 octobre 2021, ils devront tous présenter un schéma vaccinal complet. Une situation qui risque d’aggraver le manque de personnel, alertent des soignants.

    et les médecins réfractaires à ce type de vaccins ARNm
    https://www.lequotidiendumedecin.fr/actus-medicales/sante-publique/les-medecins-refractaires-la-vaccination-anti-covid-votre-coup-de-gueule-2021
    Les médecins réfractaires à la vaccination anti-Covid, votre coup de gueule 2021

    Je ne pense pas que ce site Le quotidien du médecin soit un site complotiste.

    Uniquement médecins, on ne parle pas du nombre des infirmières, des soignants, des dentistes, etc…

  25. Avatar de Catherine Medioni Catherine Medioni

    @ out | 19 janvier 2022 à 21 h 04 min
    @ out | 20 janvier 2022 à 0 h 22 min

    Ah non ! Vous n’allez tout de même pas faire votre  » Lola  » ! Qui êtes vous donc ? Quelle  » sommité médicale  » seriez vous pour vous autoriser à diffamer un prix Nobel de médecine qui n’a strictement rien de sénile ?

    Vos  » vérités  » ne sont pas les nôtres ! Et j’ai le droit de considérer qu’elles sont des mensonges ! Vos comportements autoritaires voire disctatoriaux transpirent l’intolérance et le refus du vivre ensemble avec les personnes qui ne partagent pas vos opinions et croyances et qui e »‘n ont parfaitement le droit !

    Mais si ce blog profère des mensonges, que faites vous encore à le lire ?

    • Mais si, Catherine Medioni, Montagnier est unanimement reconnu comme sénile par la communauté scientifique, par plusieurs académies des sciences, pour plusieurs affirmations et croyances honteusement fausse, comme la mémoire de l’eau et la téléportation d’ADN par e-mail qui ont l’un et l’autre été démontrée comme le résultat de tucages et de supercherie,.
      Montagnier, c’est aussi le gus qui a prétendu aussi que ce coronavirus était un virus manipulé parce qu’il avait une (très courte) séquence qui existait dans le VIH. Manque de bol il y a plus de 150 virus dans la nature qui ont cette séquence, et même en plusieurs fois ! Comme disais de Gaulle : « La vieillesse est un naufrage. »

    • Vous écrivez « Vos comportements autoritaires voire disctatoriaux transpirent l’intolérance et le refus du vivre ensemble avec les personnes qui ne partagent pas vos opinions et croyances et qui en ont parfaitement le droit ! »
      Cela correspond bien à votre comportement.

      Vous confondez croyances et savoirs. Je vous fais part de mes savoirs, pas de mes croyances.

      Le document de Robert Young (qui n’est pas médecin, je le rappelle) et fait de photos piquées à droite et à gauche dans des documents (sur d’autres sujets) publiés par d’autres, et pas des micrographies qu’il aurait pris lui-même.

      Oui, Montagnier est devenu sénile en croyant à la mémoire de l’eau, et à ses expériences de téléportation de l’ADN qui ne marchent plus quand il y a un observateur dans la pièce.

  26. Je n’interviens pas souvent mais on ne peut pas laisser passer ce genre d’affirmation

    « Déjà 9 milliards d’injections dans le monde. On n’a pas vu des milliards d’effets délétères. »

    *

    Il faudrait peut-être arrêter de considérer que la planète entière s’est faite injectée du Pfizer ou du Moderna.

    Et même si je me suis emporté sur la gue-guerre des chiffres dans un autre post concernant l’impossibilité d’avoir recours à une indemnisation face aux effets secondaires des vaccins,
    Je me sens obligé de mettre à plat quelques chiffres !

    60.2% of the world population has received at least one dose of a COVID-19 vaccine.
    9.79 billion doses have been administered globally, and 30.15 million are now administered each day.
    Only 9.4% of people in low-income countries have received at least one dose.
    https://ourworldindata.org/covid-vaccinations

    Cela ne précise pas le nombre de vaccins ARNm utilisés.

    La Chine n’utilise pas les vaccins occidentaux (donc Pfizer et Moderna ne peuvent pas s’y trouver)
    China Population 2021 (Live)
    1,446,741,127
    https://worldpopulationreview.com/countries/china-population
    85% de la population y est complètement vaccinée soit : 1 229 729 957 Milliard
    https://ourworldindata.org/covid-vaccinations – taper le nom du pays pour connaître le taux de vaccination.

    L’inde avec 1,393,409,038 d’habitants.
    48% de la population y est complètement vaccinée soit : 668 836 338 Millions
    Par des vaccins Pfizer et Moderna ?
    NEW DELHI, Sept 21 (Reuters) – India’s government will not buy COVID-19 shots from Pfizer (PFE.N)/BioNTech (22UAy.DE) and Moderna (MRNA.O), three government sources told Reuters, mainly because domestic output of more affordable and easier-to-store vaccines has jumped.
    NEW DELHI, 21 septembre (Reuters) – Le gouvernement indien n’achètera pas les vaccins COVID-19 de Pfizer (PFE.N)/BioNTech (22UAy.DE) et Moderna (MRNA.O), ont déclaré trois sources gouvernementales à Reuters, principalement parce que la production nationale de vaccins plus abordables et plus faciles à stocker a augmenté
    https://www.reuters.com/world/india/india-govt-wont-buy-pfizer-moderna-vaccines-amid-local-output-sources-2021-09-21/

    En ne prenant que les totalement vaccinés de ces deux plus grands pays (en nombre d’habitants) : 1 229 729 957 + 668 836 338 = 1 898 566 295
    ce serait près de 2 milliards à soustraire à ces fameux : 9 milliards de doses.
    Mais ne connaissant pas la proportion des gens vaccinés au Pfizer (?) avant que l’Inde ne décide d’utiliser son propre vaccin j’enlèverai (à la loupe) 50% du nombre des totalement vaccinés.
    1 229 729 957 + 334 418 169 = 1 564 148 126
    ce serait près de 1,5 Milliard à soustraire à ces fameux : 9 milliards de doses.

    Je n’ai pas ajouté les chiffres complémentaires concernant la part des vaccinés à une seule dose… mais je vous laisse imaginer, le chiffre grimpe…

    Mais cela ne s’arrête pas là : il faut compter tous les pays non alignés communistes ou simplement en dehors du cercle d’influence des USA, je n’en ferai pas la liste ici…
    Un seul quand même vu son poids en terme de population : La Russie.

    Nous devons être au-delà des 2 milliards…
    Et peut-être que mes chiffres sont sous-évalués…

    Alors finalement combien de doses Pfizer et Moderna ont-elles été administrées à travers le monde ?

    En cherchant combien de doses Pfizer a vendu :
    j’ai trouvé ceci :
    https://www.theguardian.com/world/2021/aug/11/covid-19-vaccines-the-contracts-prices-and-profits

    Les deux entreprises ont convenu de fournir jusqu’à 1,8 milliard de doses à l’UE entre décembre et 2023, en plus des 600 millions de doses commandées cette année. Le gouvernement américain a commandé 700 millions de doses jusqu’en avril de l’année prochaine pour les Américains, ainsi que 500 millions de doses pour des dons aux pays les plus pauvres.

    Pfizer et BioNTech ont pour objectif de produire 3 milliards de doses cette année et 4 milliards l’année prochaine. Selon le Financial Times, ils facturent désormais 19,50 euros par injection à l’UE, contre 15,50 euros lors du premier accord d’approvisionnement. Le Royaume-Uni paierait également plus que précédemment, soit environ 22 £ par injection pour 35 millions de doses destinées à la campagne de rappel de l’automne prochain.

    Nous sommes très loin du chiffre de 9 milliards, n’est-ce-pas ?

    • Avez-vous regarder ces articles ?
      – Rare case of …
      – un (1) patient a …
      Sans compter les références qui n’arrivent nulle part …
      –>
      same player shoot again

    • je ne vais pas essayer d’ouvrir les 1000 articles, les trente premiers fonctionnent tres bien je ne vois pas de quel article vous parlez ils sont tous numérotés .Ces vaccins posent de gros problèmes ce n’est plus à prouvé .surtout dans le sport https://www.notre-planete.info/actualites/4849-vaccins-COVID-19-risques-morts https://www.laquintacolumna.net/

    • Et non, ce n’est absolument pas prouvé. A part un effet « nocebo »
      Lisez les 3 premiers articles, vous verrez qu’il s’agit
      – de rares effets
      ou
      – d’un (seul) patient
      Et le reste à l’avenant
      Clairement, vous ne les avez pas lus.

    • oui rare effets avec Astra uniquement c’est Pfizer qui tient le record cas 2 ,> Le cas doit alerter les prestataires de soins de santé de la possibilité d’une telle complication fatale tandis que les vaccinés doivent être avertis des symptômes du VITT.> cas 3>le patient est décédé le lendemain> il me semble que cela ne peut etre plus clair

  27. extrêment interessant !!!!!!!!!!! j’aprends plein de chose

    • @dario2sarl Sur 5 milliards de vaccinés, il serait surprenant qu’il n’y ait aucune mort le lendemain d’une injection. Ce n’est donc pas si « clair » que vous le prétendez.

  28. @dario2sarl De tout temps il y a eu des morts de crises cardiaques lors des compétitions sportives, suite à des problèmes cardiaques insoupçonnés, qui se sont révélés lors des efforts intenses d’une compétition. Après les confinements pendant lesquels inévitablement l’entraînement a été moins important, le contraste compétition/entraînement a été plus élevé, et le ombre de crises cardiaques plus important. Les vaccins ne sont pas les responsables.
    —-
    Lisez les 3 premiers articles, vous verrez qu’il s’agit
    – de rares effets
    ou
    – d’un (seul) patient
    Et le reste à l’avenant
    Clairement, vous ne les avez pas lus.
    —-
    des références dans la quintacolumna ? Mais on sait tous que c’est un réservoir de fake news. Comme Pablo Campra qui prétend avoir vu du graphène, des bestioles à 5 pattes faites de métaux, …

  29. je réagis aux « pingback »
    – « bonnes nouvelles » un speech du sénile Montagier : à rejeter comme son auteur qui croit en la mémoire de l’eau
    – « composition des pseudo-vaccins » : ces vaccins ne sont pas du tout pseudo, et les propos de cet conspi de Pablo Campra qui prétend avoir trouvé du graphène et des animalcules métalliques dans les vaccins, sont à foutre directement à la poubelle

  30. Bonsoir à vous.
    Merci. Pour ces commentaires pertinents…
    Respectueuses salutations.

  31. vis-a-vis de ce vaccin : certains sites de fabrication n’avaient pas encore ete inspectes ; il manquait encore des donnees sur les lots de vaccins commerciaux ; mais, surtout, les donnees disponibles revelaient des differences qualitatives entre les lots commerciaux et ceux qui avaient servi durant les essais cliniques. C’est sur ce dernier point que les evaluateurs semblent alors le plus preoccupes. En effet, pour passer d’un stade clinique a un stade commercial, les fabricants ont du changer leurs processus de fabrication, ils ont aussi investi dans de nouvelles lignes de production et de nouvelles usines. Autant de modifications qui expliqueraient des differences dans la composition exacte des vaccins, en particulier une diminution du degre d’integrite de l’ARN. Celui-ci est l’element crucial de ce vaccin qui permet, une fois injecte dans les cellules, de fabriquer la proteine Spike du virus et ainsi apprendre au systeme immunitaire a reconnaitre ce pathogene et le neutraliser. Les vaccins utilises lors des essais cliniques possedaient entre 69 % et 81 % d’ARN « integre », c’est-a-dire la sequence entiere permettant de fabriquer la proteine Spike. En revanche, des donnees sur les lots fabriques dans ces nouvelles lignes de production revelaient des pourcentages plus faibles, 59 % en moyenne. Certains lots descendaient meme jusqu’a 51 % et 52 %. Un

    • Donc vous econaissez que les vaccins ARN-m présetent au Système immunitaire la protéine et donc que ce sont des vrais vaccins. Et vous constatez quil n’y a QUE 18 M de morts de la Covid. C’est donc bien que la vaccination a marché. Fin de la polmique !!!

  32. It is on this last point that the evaluators then seem most concerned. Indeed, to move from a clinical-stage to a commercial stage, manufacturers have had to change their manufacturing processes, and they have also invested in new production lines and new factories. So many modification which would explain differences in the exact composition of the vaccines, in particular a reduction in the degree of integrity of the RNA.

  1. Pingback: Enquête sur les effets secondaires des vaccins anti-covid19 3/3 – Bonnes Nouvelles

  2. Pingback: Qui va nous protéger de la vaccination ?Qui va nous protéger de la vaccination ?Ruraletv.fr

  3. Pingback: Composition des pseudo-vaccins • revivreautrement 2021

Répondre à AG Annuler la réponse.